I servizi offerti dal nostro Studio dentistico sono interventi e procedure effettuati per mantenere, ripristinare e migliorare la salute orale e variano dalla prevenzione alla cura di problemi specifici. I nostri servizi mirano a garantire una bocca sana e funzionale e a donare un sorriso migliore.

In un ambiente colorato e accogliente, curiamo i problemi dentali dei bambini.
L’odontoiatria pediatrica si dedica alla salute orale dei bambini e degli adolescenti. Questo ramo dell’odontoiatria si concentra non solo sulla diagnosi e il trattamento delle patologie dentali comuni, come carie e malattie gengivali, ma anche sulla prevenzione e la promozione di corrette abitudini igieniche. Gli odontoiatri pediatrici sono professionisti specializzati che possiedono competenze specifiche per trattare i pazienti più giovani, che possono avere esigenze psicologiche e comportamentali differenti rispetto agli adulti.
Oltre a gestire problemi comuni come carie e traumi dentali, l’odontoiatria pediatrica include la valutazione e il trattamento di anomalie dello sviluppo dentale e delle mascelle. Gli odontoiatri pediatrici utilizzano tecniche di gestione del comportamento e approcci comunicativi adatti all’età del paziente, facilitando così un’esperienza più confortevole per i bambini. Inoltre, si occupano della prevenzione di problemi futuri, promuovendo l’uso del fluoro e di sigillanti dentali, e fornendo consulenza sui corretti stili di vita e alimentazione.
L’odontoiatria pediatrica è quindi fondamentale per assicurare che i bambini sviluppino una bocca sana e forte, ponendo le basi per una buona salute orale nel corso della vita.

Ripristiniamo l’estetica e la funzionalità dentale con impianti in titanio.
L’implantologia dentale è una specializzazione dell’odontoiatria che si occupa della sostituzione dei denti mancanti mediante l’inserimento di impianti dentali. Gli impianti sono viti in titanio o materiali biocompatibili che vengono inseriti chirurgicamente nell’osso mascellare o mandibolare. Questi impianti fungono da radici artificiali, creando una base stabile e duratura per sostenere protesi dentarie come corone, ponti o dentiere.
Il processo di implantologia dentale inizia con una valutazione dettagliata dello stato di salute orale del paziente e della qualità dell’osso, tramite radiografie e scansioni 3D. Se necessario, possono essere effettuati interventi preparatori come innesti ossei per garantire una solida base per gli impianti. Una volta inseriti gli impianti, un periodo di guarigione permette all’osso di integrarsi con la superficie dell’impianto in un processo chiamato osteointegrazione.
L’implantologia offre numerosi vantaggi rispetto ai trattamenti dentali tradizionali per la sostituzione dei denti, come protesi mobili o ponti. Gli impianti dentali sono infatti stabili, migliorano la masticazione e la fonazione, e aiutano a preservare la struttura ossea del viso, prevenendo il riassorbimento osseo che può verificarsi dopo la perdita dei denti.

Trattiamo le patologie dei canali radicolari causate da carie profonde o da traumi dentali.
L’endodonzia è una specializzazione dell’odontoiatria che si focalizza sulla diagnosi, la prevenzione e il trattamento delle malattie e delle lesioni della polpa dentale e dei tessuti periapicali. La polpa dentale è il tessuto molle all’interno del dente, composto da nervi, vasi sanguigni e tessuto connettivo. Quando la polpa si infiamma o infetta a causa di carie profonde, traumi o fratture, può causare dolore e portare alla necessità di un trattamento endodontico.
Il trattamento endodontico più comune è la devitalizzazione, nota anche come terapia canalare. Questo intervento prevede la rimozione della polpa infetta o infiammata, la pulizia e la disinfezione dei canali radicolari, e la loro successiva otturazione con materiali specifici. L’obiettivo è salvare il dente naturale, eliminando l’infezione e prevenendo complicazioni future come ascessi o cisti.
L’endodonzia permette di conservare denti che altrimenti dovrebbero essere estratti, mantenendo l’integrità della dentatura e la funzionalità masticatoria. Dopo la terapia canalare, il dente trattato può essere restaurato con una corona o un’otturazione per ripristinare la sua forma e funzione. L’endodonzia è fondamentale per la conservazione dei denti naturali e per la salute orale complessiva.

Utilizziamo modalità di sbiancamento individualizzate nel rispetto dello smalto dentale.
L’odontoiatria estetica è una branca dell’odontoiatria che si occupa del miglioramento dell’aspetto dei denti, del sorriso e della bocca. L’obiettivo principale è correggere o migliorare elementi che influenzano l’estetica del sorriso, come il colore, la forma, la dimensione, l’allineamento e la simmetria dei denti.
Alcuni dei trattamenti più comuni nell’odontoiatria estetica includono:
Sbiancamento dentale: procedura utilizzata per rimuovere o ridurre le macchie e le discromie.
Faccette dentali: Sottili gusci di porcellana o resina applicati sulla superficie anteriore dei denti per migliorarne l’aspetto.
L’odontoiatria estetica non si occupa solo della funzionalità dei denti, ma anche della loro armonia con il viso, migliorando l’autostima e la fiducia nelle relazioni sociali.

La parodontologia tratta e previene le malattie delle gengive e dei tessuti di supporto.
La parodontologia è una specializzazione dell’odontoiatria che si occupa della prevenzione, diagnosi e trattamento delle malattie che colpiscono i tessuti di supporto dei denti, noti come tessuti parodontali. Questi includono gengive, legamenti parodontali, osso alveolare e cemento radicolare. Le malattie parodontali, come la gengivite e la parodontite, sono causate principalmente dall’accumulo di placca batterica e tartaro sui denti e lungo il bordo gengivale.
La gengivite è una forma iniziale di infiammazione delle gengive, caratterizzata da arrossamento, gonfiore e sanguinamento durante lo spazzolamento. Se non trattata, può evolvere in parodontite, una condizione più grave in cui le gengive si allontanano dai denti, creando tasche che possono infettarsi. La parodontite può portare alla perdita del tessuto osseo e, infine, alla perdita dei denti.
I trattamenti parodontali comprendono la rimozione della placca e del tartaro, la levigatura delle radici per eliminare le irregolarità che favoriscono l’accumulo di batteri, e interventi chirurgici per ridurre le tasche parodontali o rigenerare i tessuti perduti. La parodontologia non solo mira a trattare le malattie esistenti, ma anche a prevenire il loro insorgere, promuovendo una buona igiene orale e monitoraggi regolari.

Specializzazione dell’odontoiatria che comprende una vasta gamma di interventi.
La chirurgia orale è una specializzazione dell’odontoiatria che si occupa della diagnosi e del trattamento chirurgico delle condizioni e delle patologie che colpiscono la bocca, i denti, le mascelle e le strutture associate. Questa disciplina comprende una vasta gamma di interventi, da procedure di routine a operazioni più complesse.
Tra le operazioni più comuni rientrano le estrazioni dentali, come la rimozione dei denti del giudizio, infezioni o allineamento scorretto dei denti. La chirurgia orale comprende anche la gestione di lesioni traumatiche, come fratture mandibolari e mascellari, e il trattamento di anomalie congenite o acquisite, come le malformazioni delle mascelle.
Un altro campo di applicazione è l’implantologia dentale, che prevede l’inserimento di impianti in titanio nell’osso per sostituire denti mancanti. La chirurgia parodontale, parte della chirurgia orale, include interventi per trattare le malattie gengivali avanzate, come il rimodellamento delle gengive e la rigenerazione ossea.
La chirurgia orale è anche utilizzata per rimuovere cisti e tumori benigni della bocca.

Per correggere le irregolarità nell’allineamento dei denti e dei mascellari.
L’ortodonzia è una specializzazione dell’odontoiatria che si occupa della diagnosi, prevenzione e trattamento delle anomalie dentali e scheletriche nell’adulto e nel bambino. L’obiettivo principale dell’ortodonzia è correggere le irregolarità nell’allineamento dei denti e dei mascellari, migliorando così la funzionalità masticatoria e l’estetica del sorriso.
Le anomalie dentali e scheletriche possono manifestarsi come denti disallineati, spazi eccessivi, sovrapposizioni, o problemi di occlusione tra le arcate dentali superiori e inferiori. L’ortodonzia utilizza diversi tipi di apparecchi ortodontici, come apparecchi fissi (brackets e fili) e rimovibili (allineatori trasparenti), per spostare gradualmente i denti nella posizione desiderata.
Il trattamento ortodontico inizia con una valutazione clinica dettagliata, che include radiografie e modelli dentali, per pianificare l’approccio più adeguato. Gli apparecchi vengono regolati periodicamente per garantire progressi ottimali. Inoltre, l’ortodonzia può includere interventi chirurgici correttivi per casi complessi di disallineamento.

Per il trattamento delle patologie
dell’articolazione
temporo-mandibolare (ATM).
La gnatologia è una specializzazione dell’odontoiatria che si occupa dello studio e del trattamento delle disfunzioni e delle patologie dell’articolazione temporo-mandibolare (ATM) e dei muscoli masticatori. L’articolazione temporo-mandibolare collega la mandibola al cranio e consente i movimenti della bocca necessari per masticare, parlare e deglutire. Le disfunzioni di questa articolazione possono causare sintomi come dolore facciale, mal di testa, clic o scatti durante i movimenti della bocca e difficoltà ad aprire o chiudere la bocca.
La gnatologia si concentra sulla diagnosi e gestione di condizioni come l’artrosi temporo-mandibolare e le problematiche correlate alla postura mandibolare. Questi disturbi possono derivare da fattori come l’usura eccessiva dei denti, il bruxismo (digrignamento dei denti), lo stress o traumi.
l trattamenti dentali in gnatologia possono includere l’uso di placche occlusali per ridurre il bruxismo, esercizi specifici per migliorare la mobilità dell’ATM, terapie fisiche e, in casi gravi, interventi chirurgici. Inoltre, la gnatologia può collaborare con altre discipline, come l’ortodonzia e la fisioterapia, per un approccio integrato e completo al benessere dell’apparato masticatorio.

Tecnica per trattare una varietà di condizioni orali con precisione e minimali effetti collaterali.
La terapia laser in odontoiatria è una tecnica avanzata che utilizza la luce laser per trattare una varietà di condizioni orali con precisione e minimali effetti collaterali. Il laser, un dispositivo che emette un fascio di luce concentrato, può essere impiegato in diverse aree dell’odontoiatria, offrendo vantaggi significativi rispetto ai metodi tradizionali.
Nella chirurgia orale, il laser è utilizzato per eseguire incisioni precise, riducendo il sanguinamento e accelerando la guarigione dei tessuti, per esempio nella frenulectomia labiale e linguale. In parodontologia, è impiegato per trattare malattie gengivali rimuovendo il tessuto infetto e disinfettando le tasche parodontali, migliorando i risultati clinici e riducendo il dolore post-operatorio.
In endodonzia, il laser può essere utilizzato per disinfettare i canali radicolari durante il trattamento canalare, migliorando l’efficacia del trattamento e riducendo il rischio di infezioni residue. Inoltre, in odontoiatria estetica, i laser sono impiegati per sbiancare i denti, rimuovere macchie e trattare le lesioni delle mucose orali con grande precisione.
La terapia laser offre numerosi benefici, tra cui una minore invasività, una riduzione del dolore e del tempo di recupero, e una maggiore precisione nei trattamenti.

Dispositivi utilizzati per sostituire i denti mancanti e ripristinare estetica e funzionalità.
Le protesi dentarie sono dispositivi utilizzati per sostituire i denti mancanti, ripristinando la funzionalità e l’estetica del sorriso. Esistono diversi tipi di protesi dentarie, che variano in base alle esigenze del paziente e alla posizione dei denti mancanti.
Le protesi fisse, come i ponti e le corone, sono ancorate ai denti naturali o agli impianti dentali e non possono essere rimosse dal paziente. I ponti coprono gli spazi lasciati dai denti mancanti, mentre le corone sono utilizzate per rinforzare e proteggere i denti compromessi.
Le protesi rimovibili, come le dentiere parziali o totali, possono essere tolte e reinserite dal paziente. Queste sono utili per ripristinare una dentatura completa o parziale.
Tutte le protesi dentarie sono progettate per migliorare la capacità di masticare, parlare e sorridere, contribuendo così alla qualità della vita del paziente.

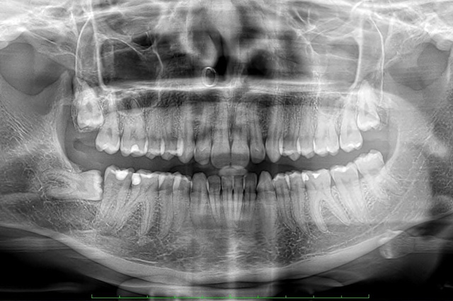
Per acquisire informazioni dettagliate sui denti e le strutture circostanti.
La radiologia odontoiatrica utilizza tecniche di imaging per diagnosticare e pianificare il trattamento delle condizioni dentali e orali. Le immagini radiografiche forniscono informazioni dettagliate sui denti, le ossa mascellari e le strutture circostanti, aiutando i dentisti a valutare problemi che non sono visibili ad occhio nudo.
Le principali tecniche di radiologia odontoiatrica includono TC Dentascan, RVG-radiovisiografia, scanner intraorale ai fosfori, ortopantomografia digitale a basso dosaggio (OPT), teleradiografia digitale di ultima generazione
La radiologia odontoiatrica è essenziale per una diagnosi accurata e una pianificazione efficace del trattamento, garantendo così risultati migliori e una gestione più sicura delle patologie dentali.

Un disturbo che colpisce il 40% della popolazione e che può avere risvolti negativi sulla salute.
Il russamento è un suono aspro prodotto dalle vie aeree superiori durante il sonno, spesso causato dal rilassamento dei muscoli della gola.
Sebbene sia comune, può essere un segnale di un problema più serio, come l’apnea notturna. L’apnea notturna è un disturbo in cui la respirazione si interrompe temporaneamente durante il sonno, causando brevi risvegli e una qualità del sonno compromessa.
I trattamenti per il russamento e l’apnea notturna variano a seconda della gravità. Nei casi più lievi, si consiglia di modificare lo stile di vita, come perdere peso, evitare alcolici prima di dormire e dormire su un fianco. Esistono anche dispositivi orali che aiutano a mantenere aperte le vie aeree.

Per migliorare l’aspetto globale del volto creando armonia tra denti e viso.
La medicina estetica del viso in odontoiatria rappresenta una nuova frontiera per migliorare l’aspetto globale del sorriso e del volto. Gli odontoiatri, grazie alla loro profonda conoscenza dell’anatomia facciale e della funzione muscolare, sono sempre più spesso coinvolti in trattamenti estetici volti a ottenere un equilibrio armonioso tra denti, gengive e struttura del viso.
Tra le tecniche più utilizzate troviamo i filler dermici e le iniezioni di tossina botulinica (botox), strumenti efficaci per il ringiovanimento del viso. I filler possono essere impiegati per riempire rughe, migliorare il contorno delle labbra, e ripristinare i volumi persi del viso, mentre il botox è usato per ridurre le rughe dinamiche intorno alla bocca e agli occhi.
L’approccio integrato tra odontoiatria e medicina estetica permette di migliorare sia la funzione che l’estetica, contribuendo a un significativo aumento della soddisfazione e dell’autostima dei pazienti. La sinergia tra queste due discipline dimostra come un sorriso perfetto sia strettamente legato a un viso armonioso e ben curato.